Ours Blanc Ioda "Boaz"
16 june 2013 * 71cm * 32kg * Pedigree * HD * Race Results
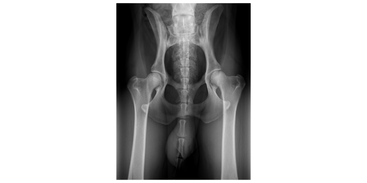
 Click here for some good (in my eyes) information about Canine Hip Dysplasia 
16 june 2013 * 71cm * 32kg * Pedigree * HD * Race Results
 Click here for some good (in my eyes) information about Canine Hip Dysplasia 